
Células tipo estaminal para aplicação na Medicina Dentária Regenerativa
Por: Cristina Pinto / Universidade de Coimbra
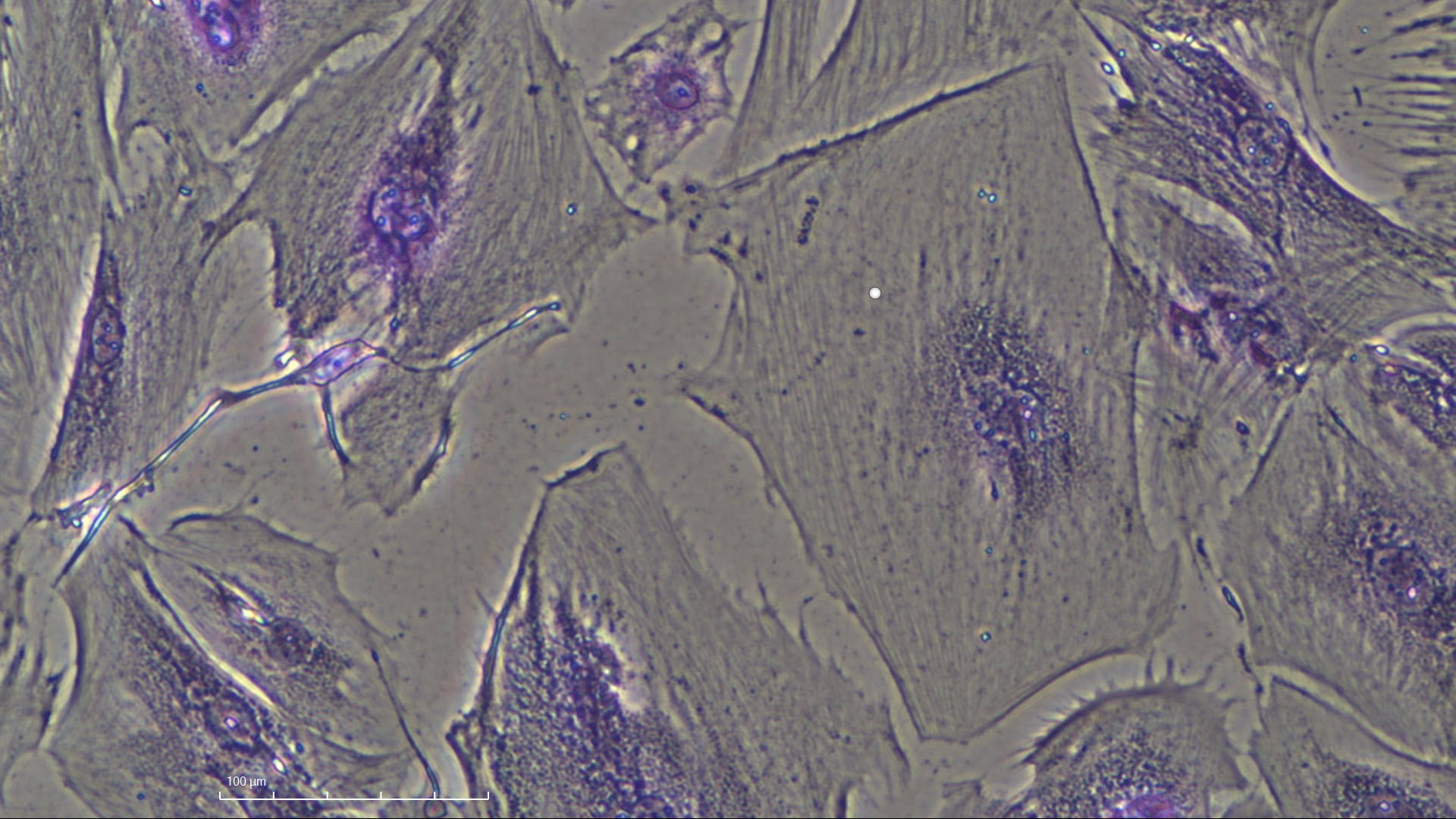
Uma equipa de nove investigadores de Medicina Dentária, da Faculdade de Medicina da Universidade de Coimbra (FMUC), desenvolveu células semelhantes às células estaminais a partir de fibroblastos gengivais para serem utilizadas na medicina dentária regenerativa.
A investigação, liderada pela catedrática Eunice Carrilho, recorreu a uma técnica de desdiferenciação celular, que consiste em utilizar células adultas e especializadas de um tecido e revertê-las a um estado próximo do estaminal em que as células têm a capacidade de se diferenciar em praticamente todos os tecidos do organismo.
«A perda total ou parcial de dentes por doenças da cavidade oral, como cáries, traumatismos ou doenças gengivais, representa um problema de saúde a nível mundial. Embora a medicina dentária disponha de materiais sintéticos, estes ainda não conseguem substituir todas as funções de um dente natural, pelo que se acredita que o futuro passa por conseguirmos regenerar o dente e os seus tecidos em vez de os substituir por materiais sintéticos», explica Miguel Marto, investigador do projeto.
Assim, prossegue o também assistente convidado da FMUC, «a medicina dentária regenerativa procura, através da seleção e recolha de células estaminais, regenerar os tecidos perdidos, mas obter estas células apresenta várias dificuldades».
Este trabalho científico de elevado nível de complexidade vem responder justamente «ao desafio de obter células semelhantes às células estaminais para serem utilizadas na medicina dentária regenerativa. Neste projeto utilizamos fibroblastos gengivais que são fáceis de colher numa consulta médico-dentária», nota o investigador.
As células obtidas são depois utilizadas para dar origem a células próprias do dente, como os odontoblastos, que formam a dentina, o principal tecido duro dentário, possibilitando assim a sua utilização em procedimentos regenerativos.
Apesar de neste projeto «se procurar a formação de estruturas dentárias, o método de obtenção de células tipo estaminal por desdiferenciação de fibroblastos gengivais abre portas à utilização em muitas outras doenças», conclui Miguel Marto.
O estudo foi recentemente distinguido pela Sociedade Portuguesa de Estomatologia e Medicina Dentária (SPEMD) com uma bolsa de apoio à divulgação científica.
Cristina Pinto (Assessoria de Imprensa - Universidade de Coimbra)
© 2017 - Ciência na Imprensa Regional / Ciência Viva
Cristina Pinto / Universidade de Coimbra
Veja outros artigos deste/a autor/a.
Escreva ao autor deste texto
Ficheiros para download Jornais que já efectuaram download deste artigo

