
Toxina letal para peixes mas útil para a biomedicina
Por: Júlio Borlido Santos
Uma toxina libertada por uma bactéria que infecta peixes tem características promissoras para a biomedicina e a biotecnologia. Designada AIP56, a toxina é hoje descrita num artigo publicado na PLoS Pathogens por uma equipa do IBMC e já foi sujeita a pedido de patente. Segundo os autores, a forma como a bactéria ludibria o sistema de defesa dos peixes, com recurso à AIP56, poderá ser extrapolada para os humanos, abrindo portas ao desenho de novas terapêuticas e para novos testes laboratoriais.
A bactéria Photobacterium damselae piscicida produz uma toxina, a AIP56, que causa eventos dramáticos nos peixes infectados. A toxina atua em células do sistema imunológico dos peixes (macrófagos e neutrófilos) que desempenham uma função essencial na defesa contra organismos invasores. Em consequência, as células são conduzidas a um tipo de morte programada, denominado apoptose. Esta situação culmina na necrose acelerada de alguns órgãos internos, levando à morte dos animais. E será o aproveitamento desta estratégia aquilo que os autores propõem para aplicação biomédica.
Ao longo dos anos os investigadores têm-se debruçado sobre esta bactéria numa perspectiva de minimizar o impacto que o agente infeccioso tem na produção intensiva de peixe. No entanto, o trabalho agora divulgado segue uma nova abordagem ao tentar tirar proveito do que se conhece sobre a forma de ação da bactéria, e em particular a AIP56. Esta abordagem vê a toxina como potencial ferramenta aplicável quer diretamente à Biomedicina quer à investigação.
A engenharia natural da toxina AIP56, coloca-a no grupo das designadas toxinas A-B. Isto porque tem dois elementos principais: o A, que atua no interior das células desativando o NF-kB, um factor de transcrição que desempenha um papel central na resposta inflamatória e que inibe a morte celular; e a parte B que funciona como mecanismo de transporte, permitindo que a parte A chegue ao interior das células onde vai atuar sobre o NF-kB. Assim, a bactéria Photobacterium damselae ludibria os organismos infectados, através da toxina AIP56, pelas duas vias: por um lado garante entrada da toxina nas células, por outro impede a ativação do NF-kb, evitando o processo inflamatório, conduzindo à morte das células que deveriam destruir a bactéria e defender da infecção.
Para Nuno dos Santos “a questão está em saber tirar partido da função da toxina e conseguir manipular a sua atuação para nosso benefício”. A história da ciência está repleta de descobertas científicas com contributos importantes para a sociedade que resultaram de “observações inesperadas, muitas vezes de áreas científicas que não estão diretamente relacionadas com a aplicação da descoberta propriamente dita”, adianta o investigador. De facto, o grupo liderado por Nuno Santos tem-se centrado prioritariamente nos processos de infecção em peixes, de forma a encontrar meios de evitar a propagação de doenças em aquaculturas intensivas e, por isso, muita da investigação que têm efectuado ao longo dos anos resulta de parcerias com empresas para o desenvolvimento de vacinas passíveis de aplicação na aquacultura. Porém, a AIP56, uma das toxinas que têm vindo a estudar nos últimos anos, revela agora um enorme potencial para utilização em Saúde Humana.
Quando questionado sobre as possíveis aplicações, Nuno dos Santos esclarece que “a ativação desregulada do NF-kB está associada a inúmeras situações graves como doenças inflamatórias, doenças autoimunes e vários tipos de cancro (entre outras)”. Por esse motivo, o NF-kB é um “alvo excelente para tratamento dessas patologias”. Nesta perspectiva a AIP56 tem e um enorme potencial para utilização em medicina, tendo os investigadores feito um pedido de patente para este tipo de utilização da toxina. Contudo, para Nuno dos Santos, “a AIP56, tem mais potencialidades a explorar, já que a parte B poderá vir a ser utilizada para transportar medicamentos para o interior das células, como se fosse um endereço postal”, ideia também já sujeita a pedido de patente.
O investigador remata dizendo que “talvez em breve vejamos como uma praga para os peixes poderá ser um benefício para os humanos”.
Júlio Borlido Santos (Núcleo de Cultura Científica IBMC.INEB)
Ciência na Imprensa Regional – Ciência Viva
NOTAS AO EDITOR
Legendas
IMAGEM 1
Baço de um robalo infectado com a bactéria Photobacterium damselae piscicida. São visíveis os nódulos esbranquiçados característicos da doença, áreas de destruição celular resultantes da ação da toxina AIP56.
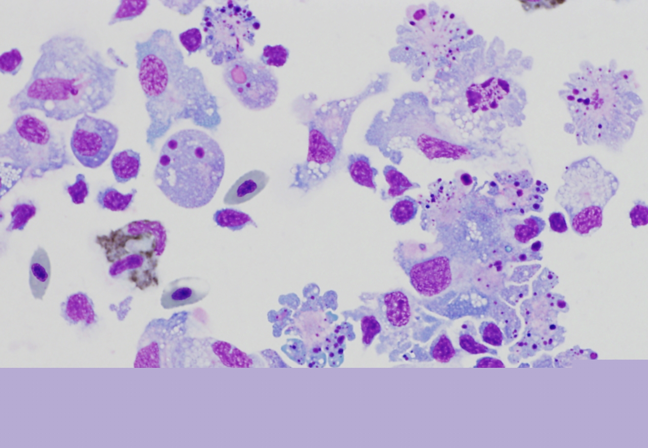
IMAGEM 2
Fotografias ao microscópio de células a morrer, por apoptose, em consequência de exposição à toxina AIP56
(Imagem com maior resolução disponível se solicitada)
* Referência completa do artigo:
Silva DS, Liliana, Pereira LMG, MoreiraAR, Ferreira-da-SilvaF, Brito RM, FariaT, ZornettaI, Montecucco C, Oliveira P, Azevedo JE, Pereira PJB, Macedo-Ribeiro S, do Vale A, dos Santos NMS (2012). The apoptogenic toxin AIP56 is a metalloprotease A-B toxin that cleaves NF-κB p65. PLOS Pathogens.
http://www.plospathogens.org/article/info:doi/10.1371/journal.ppat.1003128
© 2013 - Ciência na Imprensa Regional / Ciência Viva
Júlio Borlido Santos
Veja outros artigos deste/a autor/a.
Escreva ao autor deste texto
Ficheiros para download Jornais que já efectuaram download deste artigo

